鎌倉ルクス歯科・矯正歯科について
この度、2026年9月より、鎌倉市にて「鎌倉ルクス歯科・矯正歯科」をオープンいたします。
地域の皆さまに信頼される歯科治療を提供し、健やかな笑顔のお手伝いをさせていただきます。
どうぞよろしくお願いいたします。
Policy
診療理念
当院では、親身な医療をプロの立場で行うことが当医院の診療理念です。患者さんに対し親身であること、プロであることを大事にしています。親身な医療とは、大切な家族、親兄弟にしてあげたい治療です。プロの立場とは、任された業務を専門的知識、技量をもった職業人として責任を持って行うことです。
私たちは、スタッフ各々が、もし、自分や家族に対して、やってもらいたい歯科医療とは何かを考え、責任をもって説明、提供してゆく。そう考えて診療しております。
Features
クリニックの特徴
特徴1
精密な診査・診断と
丁寧なカウンセリング
全ての治療の起点は「正しい診断」。マイクロやCTや口腔内スキャナーなどの先端設備を用い、時間をかけて患者さま一人ひとりの状態を分析。納得感のある丁寧な説明で、安心して治療を受けていただけるよう心がけています。
特徴2
鎌倉・湘南の自然と“光”を感じる、
心満たされる空間づくり
医院名に込めた“Lux=光”のコンセプトのもと、鎌倉・湘南の自然のやすらぎと調和した内装デザイン。落ち着いた空間の中で、患者さまが心からリラックスできる時間を大切にしています。
特徴3
インプラント・矯正を中心とした
高度かつ審美的な歯科治療
機能性と美しさを両立するインプラント治療、目立ちにくい矯正治療、フルマウスリコンストラクション(全顎的治療)など、高度な専門治療に対応。院長は矯正セミナG.P.O講師です。
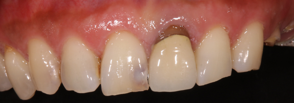
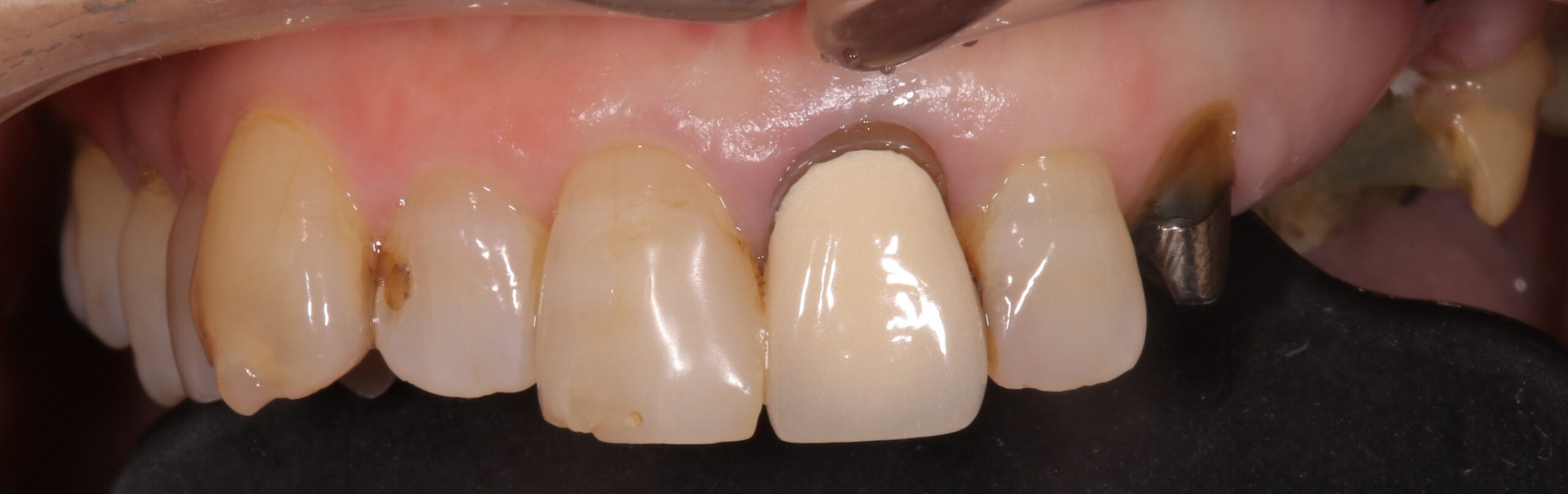
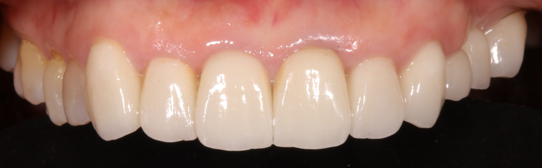
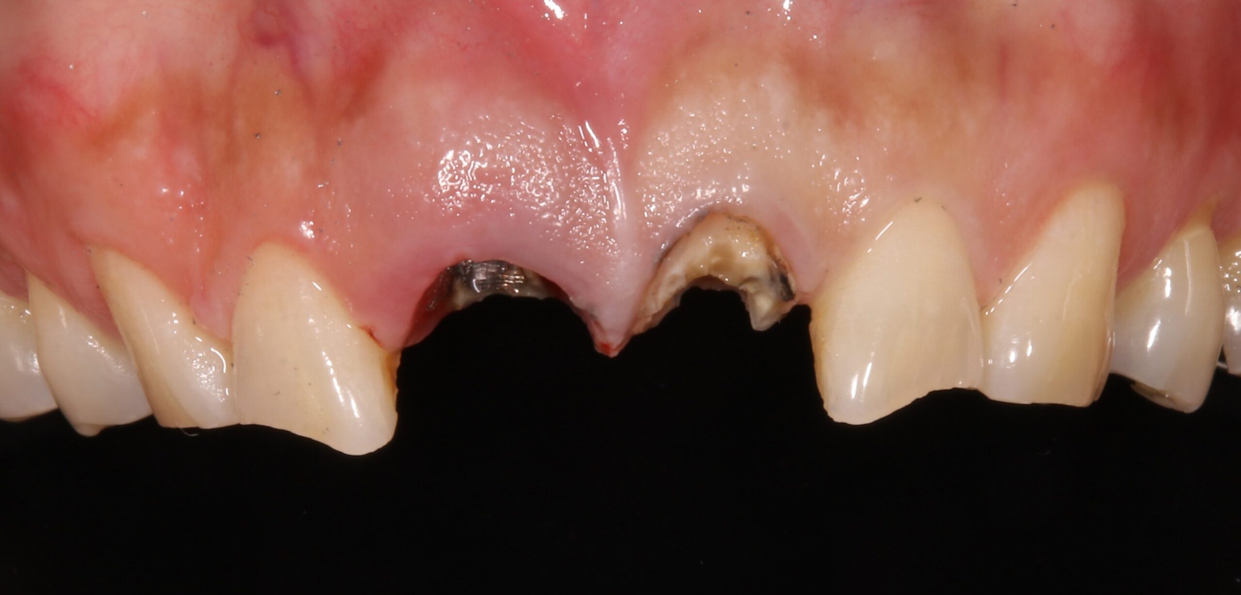
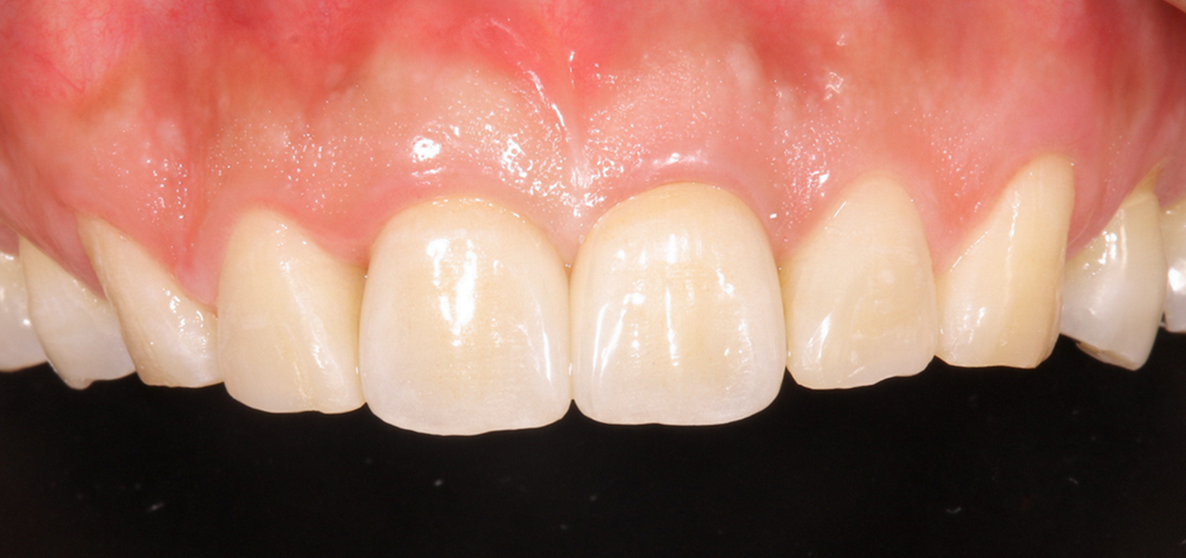
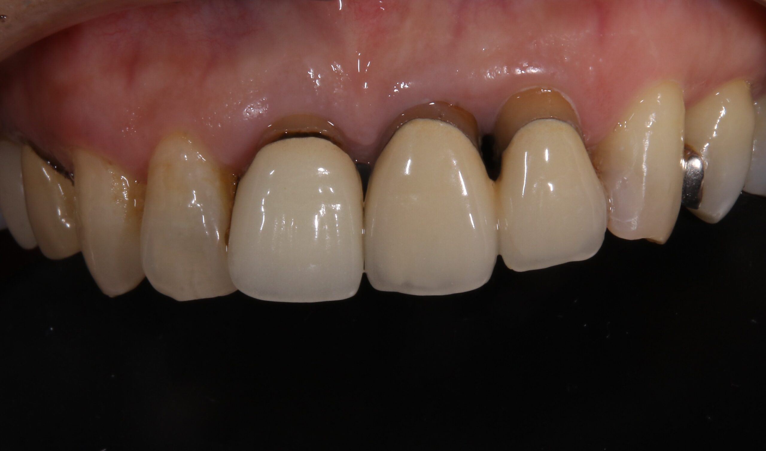
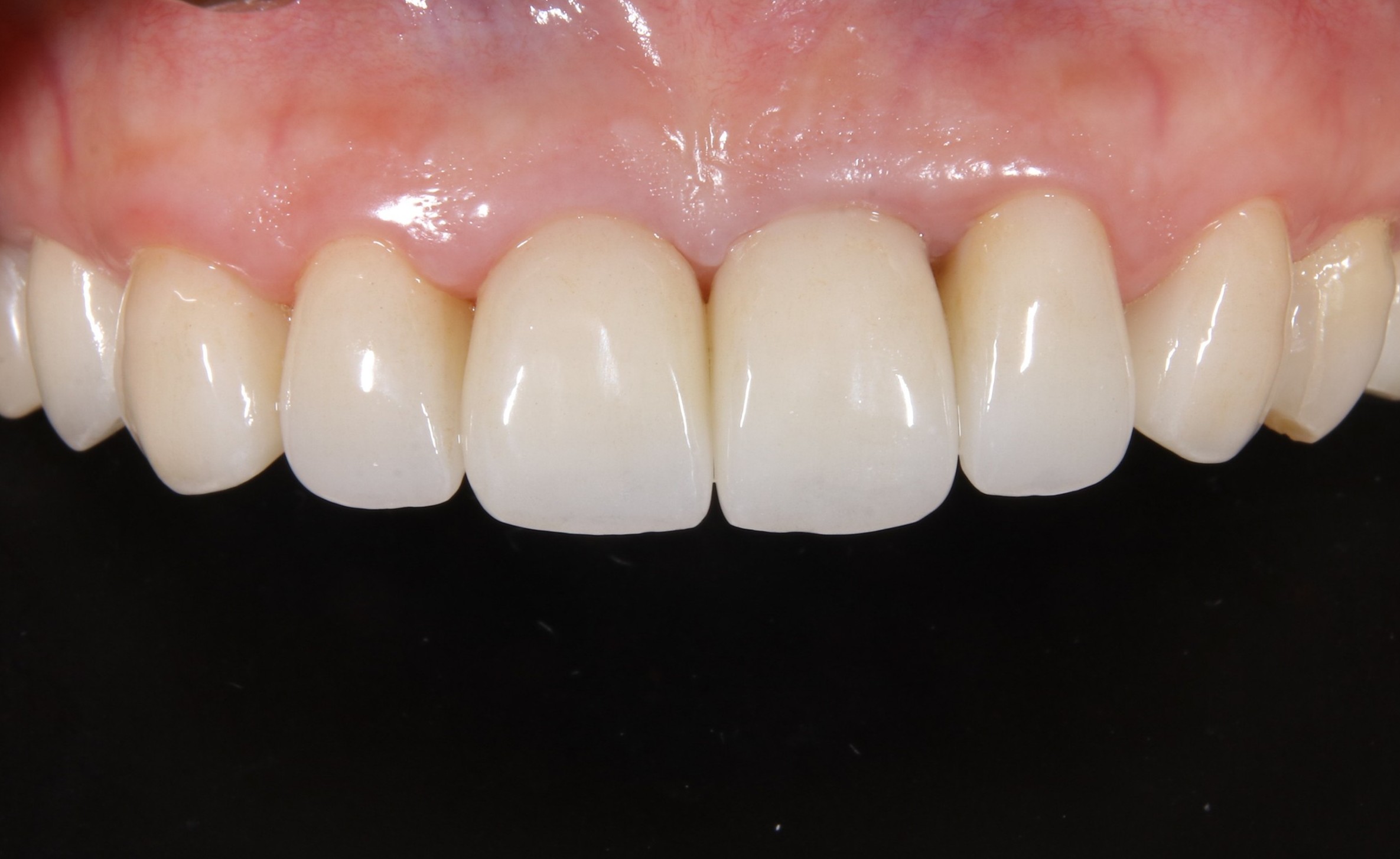
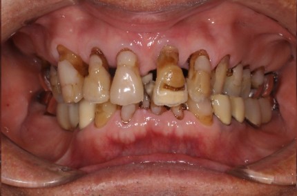
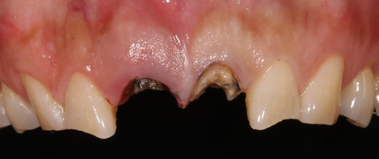
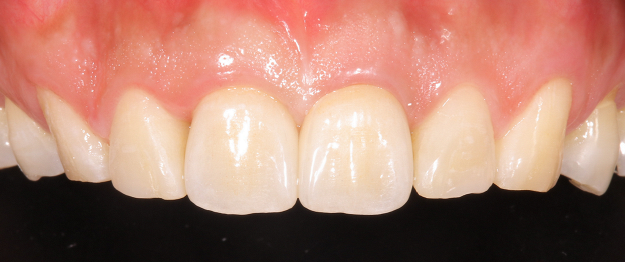
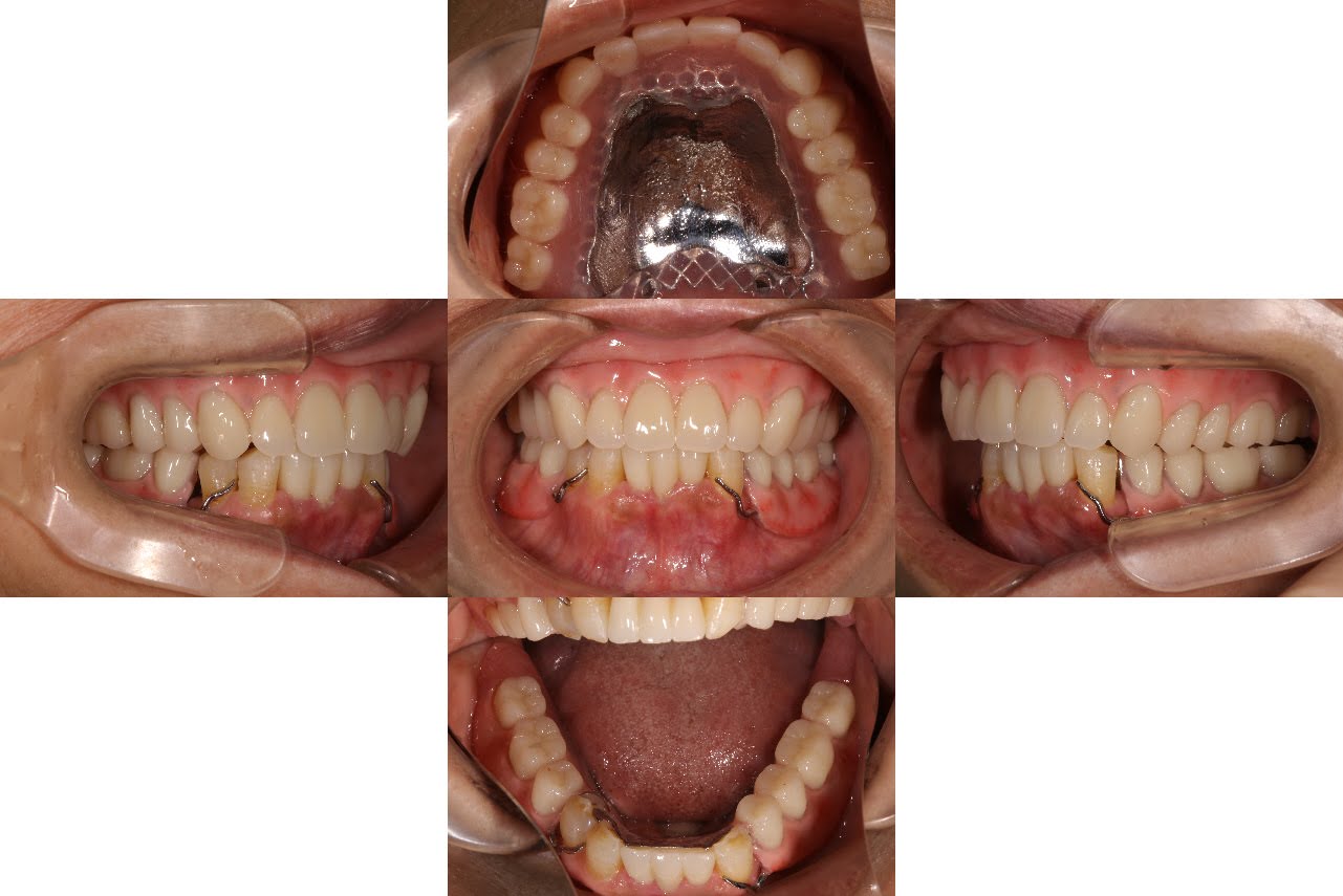
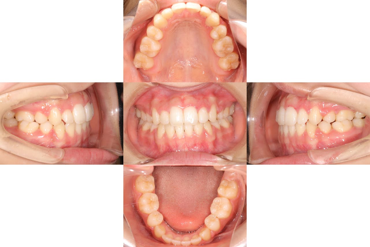
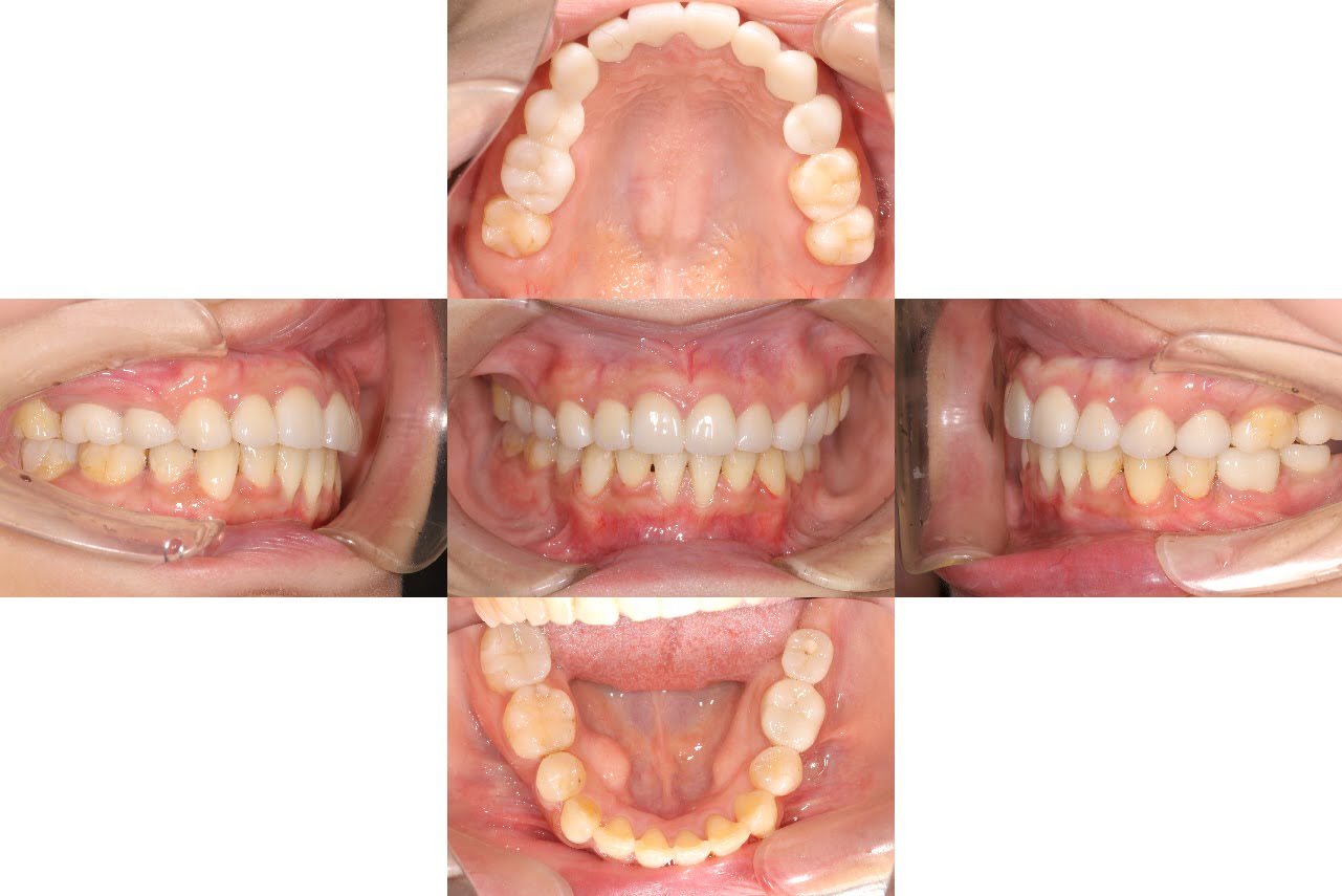
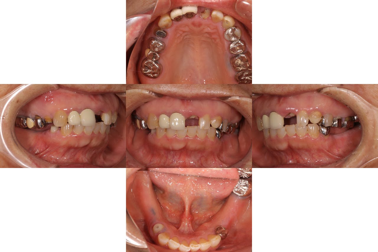
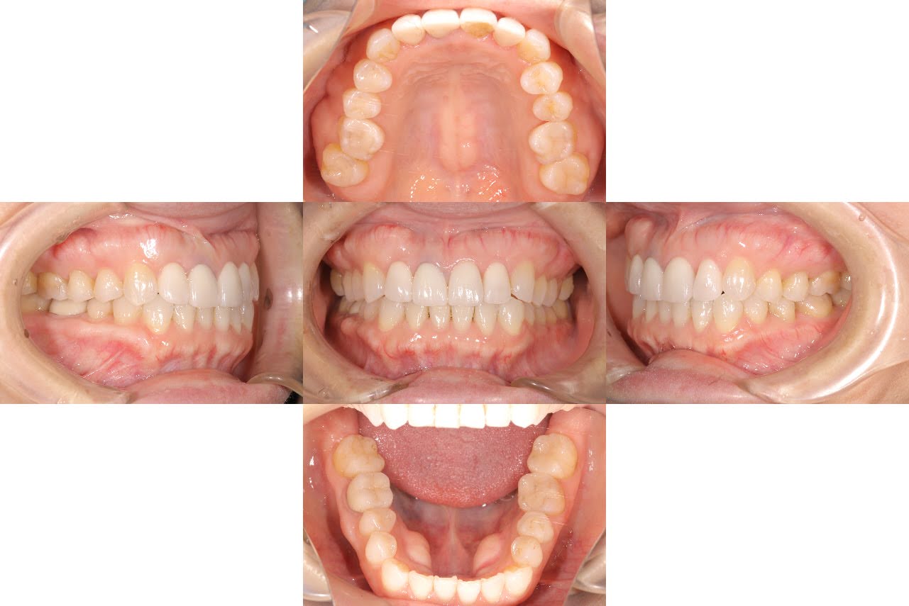
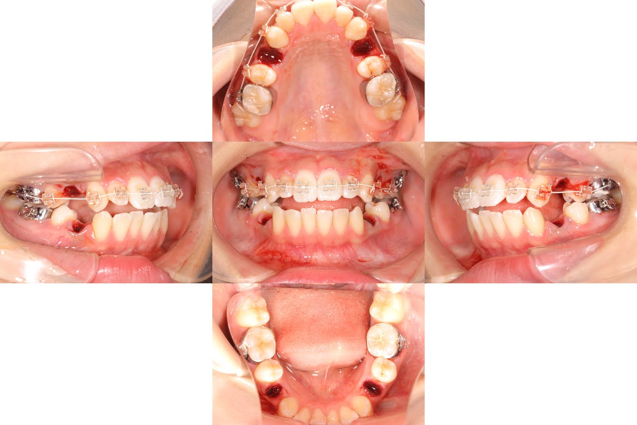
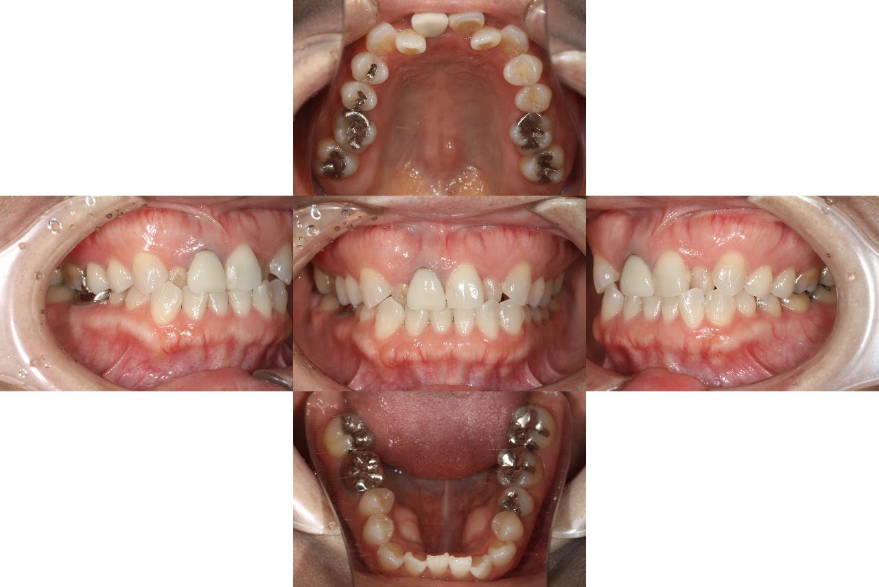
Case
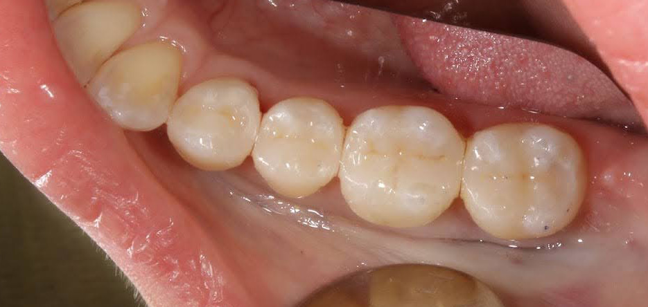
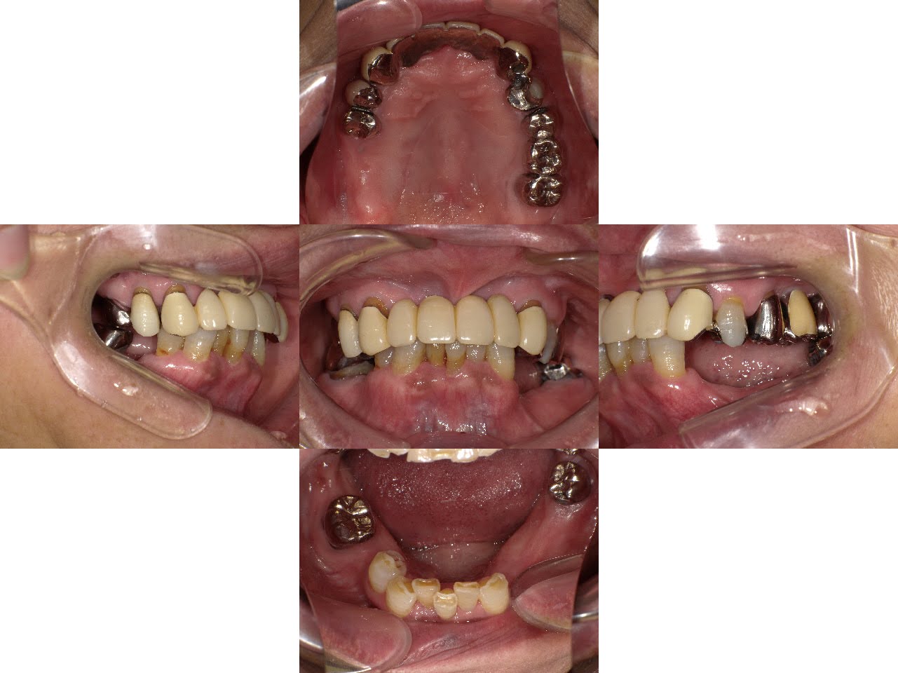
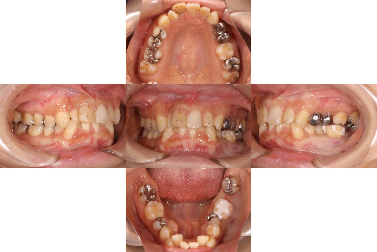
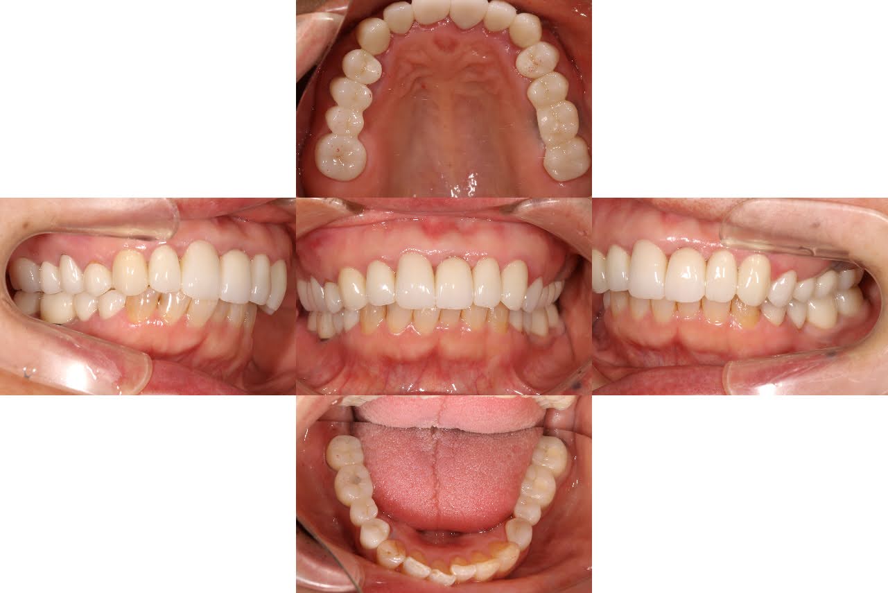
症例紹介
First
初めての方へ
STEP 01.
ご来院・受付
初診時は、問診票の記入・保険証の確認等を行うため予約時間の10分程度早めにご来院いただくと問診や診療にしっかりと時間をとることができ、スムーズにご案内できます。
STEP 02.
問診・カウンセリング
まず気になるところや症状などを伺います。併せて不安なことや心配なことがあればお伝えください。
STEP 03.
検査
当院では、マイクロスコープにて口腔内を撮影して、現状の拡大画像をモニターに映してご説明します。必要に応じて、レントゲン・CT撮影・歯型採取・歯周病検査を行います。
STEP 04.
治療計画の説明
治療内容はわかりにくいものが多いですが、口の中を大きく拡大した画像をご覧いただき、できるだけわかりやすく説明させていただきます。
STEP 05.
治療
治療中は、極力痛みを感じないように貼る麻酔と極細の針で麻酔を行います。また、可能な限り再発のない治療を目指し、精度の高い治療を行っていきます。
STEP 06.
メインテナンス・定期検診
鎌倉ルクス歯科・矯正歯科では、定期検診を通じて、予防サポートにも力を入れています。治療後においても、患者さまのお口の健康づくりを末長くサポートしてまいります。
Information
診療時間 鎌倉の歯医者|鎌倉ルクス歯科・矯正歯科
診療時間
月
火
水
木
金
土
日
祝
10:00-13:00
14:30-18:30
▲:14:00-17:00
休診日
月曜・祝日









