鎌倉ルクス歯科・矯正歯科の院長の岡です。今回のケースはどのように治療していくかとても悩んだケースです。実際に、「歯並びが気になるけれど、自分のケースはかなり複雑かも…」と悩まれている方は少なくありません。今回は、通常とは異なる位置に永久歯が生えてきてしまい(異所萌出)、乳歯も残っていた非常に難易度の高い症例をご紹介します。

症例の概要(Before)
お悩み: 上下の歯のガタガタ(叢生)と口元の突出感 。
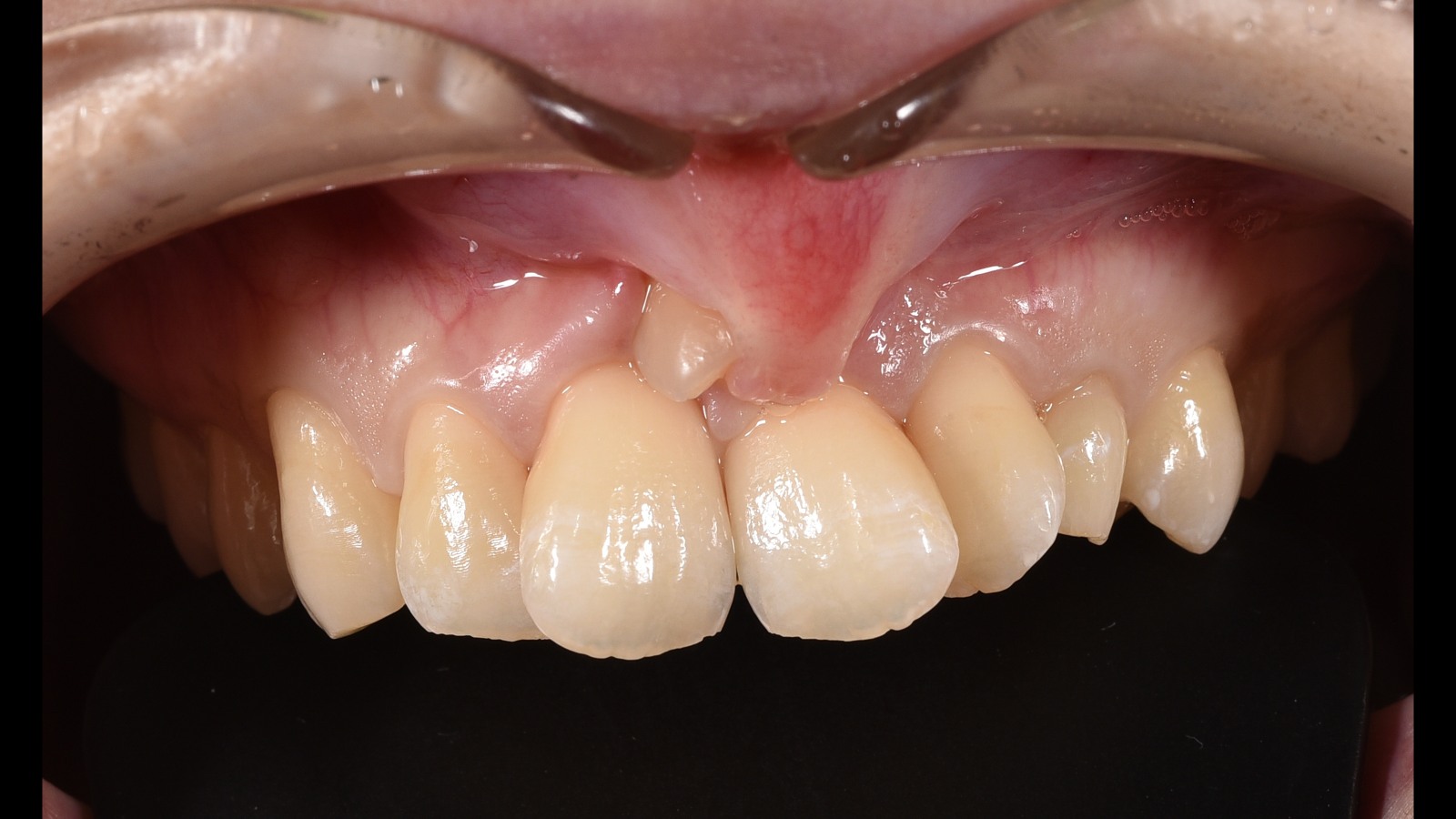
お口の状態: 左上の犬歯(3番)が、本来の位置ではなく中切歯の近くに生えていました。さらに、子供の歯(乳犬歯)が大人になっても残っている状態でした 。
診断: 左上3番の異所萌出を伴う上下顎前突・叢生
症例の状況:左上3番の異所萌出
今回の患者さんは、左上の犬歯(3番)が、前歯の頬側という通常ではあり得ない位置から生えてきていました。また、本来犬歯が生える場所にはまだ乳歯が残存しており、上下の噛み合わせも大きく乱れている状態でした
歯科医師としての決断:なぜ「犬歯を抜く」選択をしたのか
通常、矯正治療において犬歯(3番)は「根が長く丈夫な歯」であるため、最も残すべき重要な歯とされます。しかし、今回のケースで無理にこの犬歯を本来の位置へ牽引(引っ張る)しようとすると、リスクがありました。
周囲の歯(中切歯など)の根を傷つけてしまうリスク 治療期間が大幅に長期化するリスク 無理に動かすことで、将来的に歯ぐきが退縮してしまうリスク
そこで私は、あえて異所萌出している犬歯を抜歯し、隣にある「第1小臼歯」を犬歯の代わりとして機能させる(代用)という戦略を立てました。
外科処置(FGG)を併用
歯を並べるだけが矯正ではありません。今回の症例では犬歯を抜歯すると、歯肉退縮が大きくなり、審美性を著しく損なうと考えました。
そのため、FGG(遊離歯肉移植術)という外科処置を併用しました。お口の別の場所から健康な歯ぐきを移植し、歯を支える土台を厚く丈夫に作り替える処置です。 「並べる」だけでなく「一生持たせる」ための、当院こだわりのアプローチです。



戦略的な「4番(第1小臼歯)」の活用
3番の抜歯は苦渋の選択に見えるかもしれませんが、周囲の健全な歯根を傷つけず、かつ最短ルートで安定した咬合(噛み合わせ)を作るための、医学的根拠に基づいた戦略です。4番を3番に見せるための形態修正やブラケットのポジショニングには、僕自身 悩みましたが、3番と同様の部位にしています。
治療結果
歯並びのガタつきが改善と口元の突出感が軽減し、横顔のバランスが改善しました。
また、咬み合わせが安定し、機能的にも良好な状態を獲得セファロ分析においても、前歯の突出は改善され、バランスの取れた咬合へと変化しています。また、患者様の笑顔にも大きな変化が見られ、審美的にも満足度の高い結果となりました。


下にこれまでの経過を載せます。





院長よりメッセージ
矯正治療は「並べる」だけでなく、どの歯を残し、どの歯に役割を持たせるかという設計が非常に重要です。
本症例では、
・犬歯の位置異常
・歯ぐきの問題
・口元の突出
これらを総合的に判断し、通常とは異なる治療方針を選択しました。
当院では、見た目だけでなく、機能・長期安定性まで考えた治療を大切にしています。
術前の術後の模型とセファロレントゲンの重ね合わせも載せます。



治療期間・費用
治療期間:2年3ヶ月
費用:99万円(税込)
リスク・副作用
・治療期間が延長する可能性(個人差あり)
・ワイヤー矯正に伴う痛みや違和感
・後戻りの可能性(保定装置の使用が必要)
・歯根吸収(歯の根が短くなる可能性)
・歯肉退縮の可能性