みなさん、こんにちは。 鎌倉ルクス歯科・矯正歯科の院長の岡です。今回もワイヤー矯正のお話です。
以前のブログで「6番(第一大臼歯)を抜歯して出っ歯を改善した症例」をご紹介しましたが、今回もそれと通ずる「抜歯の選択肢」にこだわったケースです。
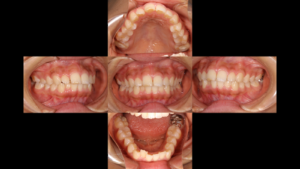
今回の課題:出っ歯と「寿命の短い奥歯」
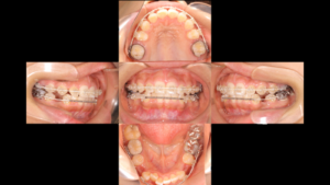
今回の患者様は、上下ともに小臼歯の抜歯を行っていますが、ポイントは上顎の奥歯(7番)の扱いです。
課題1: 重度の出っ歯(上顎前突)
課題2: 7番(第二大臼歯)が失活歯(神経がない歯)で、将来的な破折や再感染のリスクが高い
課題3: ガミースマイル(笑うと歯茎が目立つ
ここで、状態の悪い7番を残して小臼歯だけを抜くのではなく、「リスクの高い7番を抜いて、控えていた8番(親知らず)をその位置へ持ってくる」という戦略を立てました。
診断:安易な抜歯ではなく「リスク」を優先する
通常の矯正では、真ん中あたりの「小臼歯」を4本抜いてスペースを作ることが一般的です。今回の患者様も上下で小臼歯を抜歯しましたが、上顎についてはもう一つの重要な決断をしました。
それは、奥から2番目の歯(7番:第二大臼歯)の状態が非常に悪かった(失活歯)ことです。
ここで状態の悪い歯を残したまま小臼歯だけを抜いて並べても、数年後にその奥歯がダメになってしまったら、また患者様は苦労することになります。そこで、リスクのある7番を抜き、一番奥に控えていた親知らず(8番)を矯正の力でスライドさせて持ってくるという計画を立てました。
僕としては、正直、親知らずをここまで動かすのは大変ですが、自分の歯で噛める喜びには代えられませんから、患者さんの喜ぶ姿と良い仕事をしたと思えるので頑張れます!

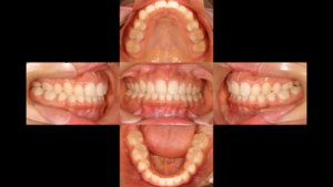
仕上げのガミースマイル改善(レングス)
歯並びが整うだけでは、本当の「美しさ」は完成しません。 今回は同時に**クラウンレングスニング(歯冠長延長術)**を行い、歯の形と歯茎のラインを整えました。出っ歯が治り、さらに歯茎の露出が抑えられたことで、笑った時の印象が劇的に変わっています。


まとめ:僕が「歯を選ぶ」理由
「とにかく早く並べばいい」という考え方もありますが、僕は「どの歯を並べるか」が一番重要だと考えています。
状態の悪い歯を抱えたまま矯正を終えるのではなく、一生モノの健康な歯(親知らず)を主役に据える。前回の症例と同様、今回の治療も「患者さんの10年、20年後の噛み合わせを守る」ための、僕なりの回答です。
下にこれまでの経過を載せていきます。






治療期間・費用
治療期間:1年10ヶ月
費用:88万円(税込)
リスク・副作用
・治療期間が延長する可能性(個人差あり)
・ワイヤー矯正に伴う痛みや違和感
・後戻りの可能性(保定装置の使用が必要)
・歯根吸収(歯の根が短くなる可能性)
・歯肉退縮の可能性