「出っ歯を治したいけれど、抜歯は少し不安。」
矯正相談で、よくいただくご質問です。
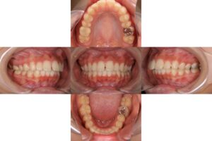
本症例は、出っ歯(上顎前突)に悩まれていた20代女性のケースです。精密検査の結果、上あごが前に出やすい骨格傾向と前歯の強い突出が認められました。さらに、奥歯の一部は神経を取っており、将来的なリスクも考慮する必要がありました。
そこで本症例では、「抜くかどうか」ではなく「どの歯をなぜ抜くのか」という視点で治療計画を立案。歯の状態と骨格のバランスを総合的に診断し、抜歯部位を慎重に選択しました。
その結果、口元の突出感が改善し、横顔の印象も自然で調和のとれたラインへと変化しました。本人と親御さんからも喜びの声を頂き、僕もとても嬉しかったことを覚えています。 矯正治療は、その人の人生にも大きく関わることなんだなと身をもって体験しました。 正直、この経験から矯正治療がとても好きになりました。
今回は上顎前突(出っ歯)矯正において本当に重要なのは、目の前の歯並びだけでなく、骨格や歯の質まで含めた「診断」です。
「寿命の短い歯を卒業させ、元気な親知らずを身代わりに活用した」**症例を解説します。




出っ歯の矯正で「親知らず」を主役にする。あえて奥歯(6番)を抜歯した理由とは?
患者さんの悩みとしては、
上顎前突(いわゆる出っ歯) 口元の突出感(横顔のラインを整えたい)上顎6番(第一大臼歯)の状態不良
ここで重要なのが、上顎6番のコンディションです。 この歯はすでに神経を失っており(失活歯)、残っている歯の量も少ない状態でした。患者様がまだ若いことを考えると、この先何十年もこの不安定な歯を使い続けるのは、常に「歯が割れる」「再治療が必要になる」というリスクが付きまといます。ここは、矯正治療では逆に難易度は上がります。
そのため、「リスクのある歯を残して健康な歯を抜くよりも、リスクのある歯を抜いて、元気な親知らずを再利用しよう」という決断をしました。
あえて「6番抜歯」を選択した3つの戦略
出っ歯の治療では「前歯を下げるスペースをどこで作るか」が鍵となります。今回、あえて6番を抜歯したのにはメリットがあるので解説していきます。
将来のトラブルを未然に防ぐ
将来的に抜歯が必要になる可能性が高い「予後不良」な6番を、あえて今のタイミングで整理します。これにより、お口の中を「健康な天然歯だけ」の理想的な状態にリセットできます。
歯の動きをシンプルにする
通常、出っ歯を引っ込めるには奥歯を後ろに下げるという複雑な動きが必要ですが、6番のスペースを利用すれば、**「後ろの歯を前に持ってくるだけ」**というシンプルなコントロールが可能になり、治療の質が安定します。
理想的なEライン(横顔)の実現
6番という大きな歯のスペースをフルに活用することで、前歯をしっかりと後退させることができます。鼻先から顎先を結ぶ「Eライン」が劇的に整い、口元の印象が大きく変わります。
僕が考え得ることとして、この3つが主な理由になるかなと思います。
「親知らず」は、実は最高のスペアタイヤです
僕がよく患者さんから聞くこととして「親知らず=抜くもの」というイメージが強いと思います。
実は「条件が整えば、しっかり噛める奥歯として一軍デビュー」させることが可能です。また、移植用にもよく使用するため、虫歯になっていない親知らずは残した方がいいと僕は考えています。インプラントになると高いですし。
今回の症例では、親知らず(8番)の形や根の状態が非常に良かったため、「7番を6番の位置へ、8番を7番の位置へ」と移動させました。ここはかなり複雑ですが、歯の背番号を交代させていった感じです。
これにより、インプラントなどの人工物に頼ることなく、すべてご自身の天然歯で噛み合わせを完成させることができました。
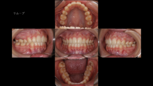
治療の結果:美しさと健康の共存
治療の結果、前歯の突出感は解消され、口元は自然で美しいラインへと整いました。 特に笑った時の印象がものすごく明るくなり、患者さんからも「自分の歯でここまで変われるなんて」と言われました。最初に書いたように、周りも幸せにできて歯科医師として良い仕事をしたなと思っています。
下にこれまでの経過を載せています。 歯科セミナーでのケースプレゼンテーションで使用したものをそのまま載せます。






歯科医師としての想い
矯正治療の本質は、単に「歯を綺麗に並べる」ことではありません。 「どの歯を一生使い続け、どの歯を卒業させるか」という選択です。
1人ひとりの歯の寿命を見据えた、オーダーメイドの矯正治療。 あなたの将来にとって、一番価値のある選択を一緒に考えていきたいです。
また、必ず最善の治療を提案できる技術もありますので、是非なんでも聞いてください。
矯正相談をご検討の方へ
「自分の親知らずは使えるの?」「抜歯が必要と言われたけれど、納得して進めたい」 そんなお悩みをお持ちの方は、ぜひ一度ご相談ください。精密な診断に基づき、あなたの人生に寄り添った治療プランをご提案いたします。
治療期間・費用
治療期間:2年2ヶ月
費用:88万円(税込)
リスク・副作用
・治療期間が延長する可能性(個人差あり)
・ワイヤー矯正に伴う痛みや違和感
・後戻りの可能性(保定装置の使用が必要)
・歯根吸収(歯の根が短くなる可能性)
・歯肉退縮の可能性