抜歯即時義歯を経て、最終的に精密設計のキャストパーシャルデンチャーへ移行した包括的再建症例です。機能回復と審美性の両立を目指した治療内容をご紹介します。
症例
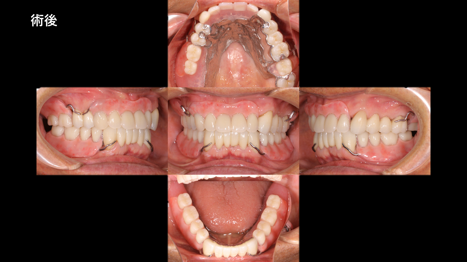
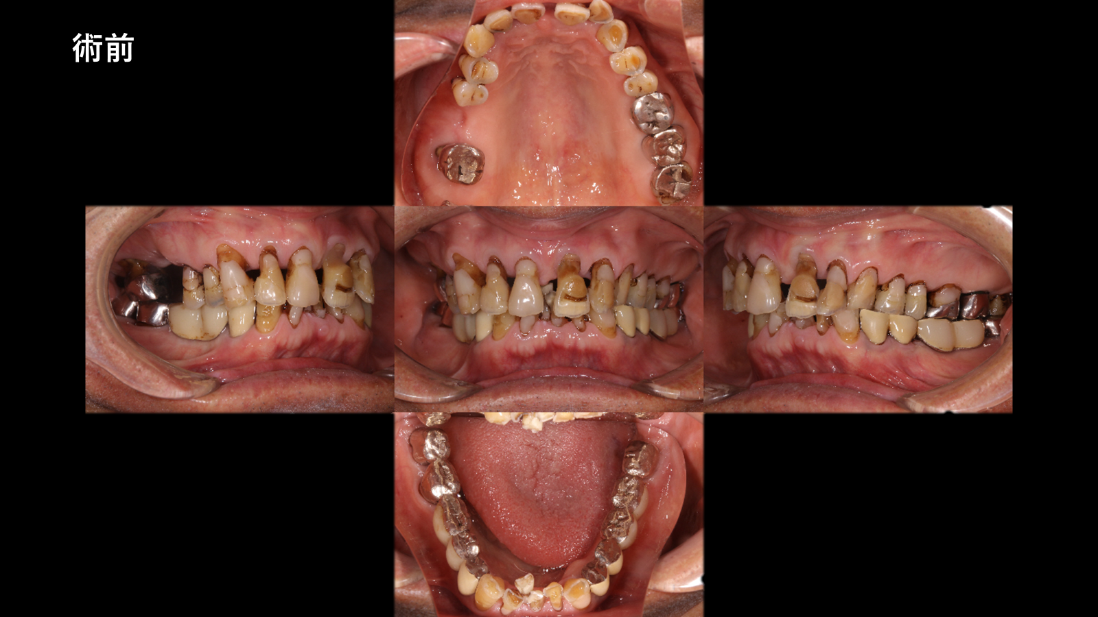
BEFORE AFTER
治療経過
( 1 / 1 )
| 主訴 | 80代男性 虫歯で噛めないので、全体的に見て欲しい。 |
|---|---|
| 治療内容 | 上下ジルコニアクラウン 上下キャストパーシャルデンチャー |
| 治療期間 | 半年 |
| 費用 | キャストパーシャルデンチャー 上顎49.5万円 下顎49.5万円 |
| 治療のリスク | 保険適用外のため費用が高額 製作に時間がかかる 技工士の技術に仕上がりが左右されやすい |
| 所見 | 本症例では、咬合の不安定から歯の破折や重度の虫歯により多数歯の動揺および咬合崩壊が認められました。保存困難歯を抜歯後、即時義歯により咬合支持を確保し、治癒期間を経て最終的に自費キャストパーシャルデンチャーへ移行しました。 最終補綴では、支台歯の設計・クラスプ位置・咬合関係を精密に計画し、機能的安定と審美的改善を両立させました。 |