• HOME
  • 子どもの虫歯でも神経を残せる? 9歳の歯を守った「生活歯髄温存療法」の症例|鎌倉・藤沢
歯髄温存療法

2025-03-06

著者:

子どもの虫歯でも神経を残せる? 9歳の歯を守った「生活歯髄温存療法」の症例|鎌倉・藤沢

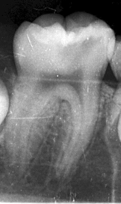
9歳男児。 右下の奥歯に大きな虫歯を認め来院されました。 虫歯は歯の神経の近くまで進行していましたが、 永久歯はまだ根の成長途中であり、神経を取ってしまうと歯の成長が止まってしまう可能性があります。 そのため今回は **生活歯髄温存療法(神経を残す治療)**を選択しました。

症例

BEFORE AFTER

Before
After
Before
After

治療経過

治療経過
治療経過
治療経過

( 1 / 1 )

主訴 むし歯の治療
治療内容 虫歯を慎重に除去した後、
神経を保護する材料を用いて歯髄を保存し、修復処置を行いました。

その後、定期的に経過観察を行っています。
治療期間 1日(経過観察あり)
費用 55,000円(税込み)
治療のリスク 虫歯の進行状況によっては歯髄炎が進行し、将来的に神経の治療(根管治療)が必要となる可能性があります

経過によっては痛みや腫れなどの症状が出ることがあります

定期的な経過観察が必要となります
所見 右下臼歯に深いう蝕を認め、歯髄近接または露出の可能性が疑われた。
患者は9歳であり、当該永久歯は**歯根の形成途中(根未完成歯)**であった。

永久歯の正常な発育を考慮し、可能な限り歯髄の保存を目的として
生活歯髄温存療法を選択した。

術後は定期的に経過観察を行い、
6か月後および約1年後のレントゲンにて

症状なし

EPT(+)

歯根の成長を確認

歯髄の生活反応および歯根発育を認め、良好な経過を示している。

関連記事

カテゴリ

当医院について

この度、2026年9月より、鎌倉市にて「鎌倉ルクス歯科・矯正歯科」をオープンいたします。
地域の皆さまに信頼される歯科治療を提供し、健やかな笑顔のお手伝いをさせていただきます。