• HOME
  • 歯並びがガタガタ(叢生)を抜歯矯正で改善した症例 上下ワイヤー矯正|鎌倉・藤沢
矯正歯科

2026-01-31

著者:

歯並びがガタガタ(叢生)を抜歯矯正で改善した症例 上下ワイヤー矯正|鎌倉・藤沢

歯並びのガタつき(叢生)を主訴に来院された患者様の症例です。 上下顎ともに歯列のスペース不足が強く認められたため、上下小臼歯の抜歯を行い矯正治療を行いました。 歯のスペースを確保した上で歯列を整えることで、歯並びおよび咬み合わせの改善を行いました。 治療後は機能的な咬合関係を確立し、審美的にも整った歯列を得ることができました。

症例

BEFORE AFTER

Before
After

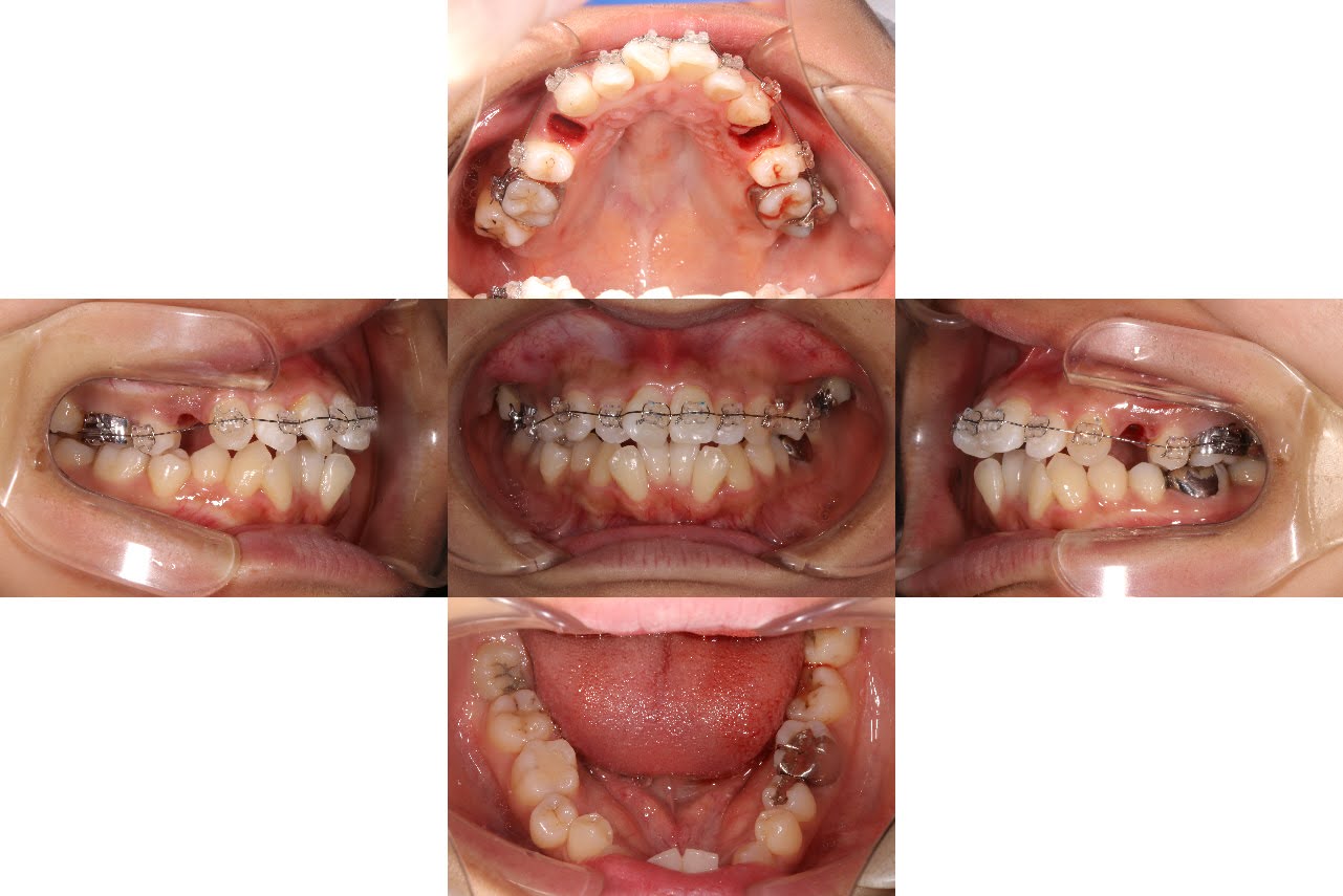
治療経過

治療経過
治療経過
治療経過
治療経過
治療経過

( 1 / 1 )

主訴 30代女性
歯並びがガタガタ
矯正希望
治療内容 上下ワイヤー矯正
上下小臼歯 抜歯
治療期間 2年3カ月
費用 88万円(税込み)
治療のリスク 治療期間の延長(個人差あり)
ワイヤー矯正に伴う痛みや違和感
後戻りの可能性(保定が必要)
歯の根が短くなるリスクや歯肉退縮の可能性
所見 初診時、上下顎に強い叢生を認め、歯列弓内のスペース不足が顕著でした。
叢生の改善および咬合関係の確立を目的として、上下小臼歯抜歯による矯正治療を選択しました。

レベリング後、スペースクローズを行い歯列および咬合の改善を図りました。
最終的に犬歯誘導を含めた機能的咬合を確立し、歯列の安定を得ることができました。

カテゴリ

当医院について

この度、2026年9月より、鎌倉市にて「鎌倉ルクス歯科・矯正歯科」をオープンいたします。
地域の皆さまに信頼される歯科治療を提供し、健やかな笑顔のお手伝いをさせていただきます。