2026-03-30
「出っ歯+埋伏犬歯を伴う症例|乳歯残存と破折歯にも対応した矯正治療」 鎌倉・藤沢
鎌倉ルクス歯科・矯正歯科の院長の岡です。今回は前にも投稿しましたが、また同じく犬歯の異所萌出と上顎前突(出っ歯)に対応した症例になります。
僕の現場での感覚として出っ歯でお悩みの方の中には、
「歯並びだけでなく、歯の位置や状態に問題があるケース」も少なくありません。
今回の症例では、3つほど問題がありました。
上顎に乳歯が残存しており本来生えてくるはずの犬歯が埋伏し、さらに下顎の小臼歯が破折といった、複数の問題を抱えたケースでした。

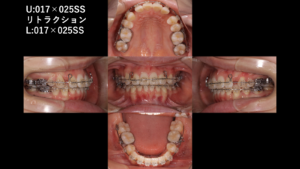
症例の概要
患者さん:20代女性
主訴:出っ歯が気になる/上の奥歯の痛み
今回の症例は、単純な出っ歯ではなく、埋伏犬歯+乳歯残存+破折歯といった複合的な問題を伴っていました。
このように見た目以上に難易度の高いケースなのかなと最初は感じました。

診断と治療方針
今回は、見た目の改善だけでなく、咬合の安定や長期的な予後を考慮し、 包括的な治療計画を立案しました。
僕がたてた治療計画としては、以下の4つになります。
・埋伏犬歯の外科的処置・乳歯の抜去・下顎小臼歯の抜歯・上下ワイヤー矯正
機能と審美の両立を目的とした治療
犬歯の代わりに小臼歯の4番の歯を活用
本症例では、埋伏している犬歯を摘出したため前に投稿したブログと同じように、戦略的に第1小臼歯(4番)を犬歯の代わりとして活用しています。また患者さんの4番は形態的にも犬歯に近く、適切にコントロールすることで、見た目の自然さと機能の安定性を両立することが可能です。
また、ブラケット位置はかなり迷いましたが、3番と同じ部位に付けることとしました。


この症例のポイント
僕がこの症例で重要だと感じたことは
・埋伏犬歯への対応と歯の役割の再設計 本症例では、埋伏している犬歯を摘出したため、
・戦略的に第1小臼歯(4番)を犬歯の代わりとして活用 4番は形態的にも犬歯に近く、適切にコントロールすることで、
・見た目の自然さと機能の安定性を両立することが可能です。
単に歯を並べるのではなく、どの歯にどの役割を持たせるかまで設計することが重要です。
治療結果
前歯の突出感が改善し、歯列全体のバランスが整いました。また、それにより、咬合が安定しています。




治療期間・費用
治療期間:2年3ヶ月
費用:99万円(税込
リスク・副作用
・治療期間の延長(個人差あり)
・矯正に伴う痛みや違和感
・後戻りの可能性(保定が必要)
・歯根吸収(歯の根が短くなる可能性)
・歯肉退縮の可能性