2026-03-27
「噛み合わせがズレている」違和感を解消。鋏状咬合(はさみ状咬合)を伴うガタガタの歯並びの矯正治療
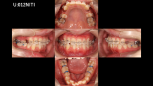
こんにちは。鎌倉ルクス歯科・矯正歯科の院長前歯がガタガタしているだけでなく、奥歯の噛み合わせがどこかおかしい気がする……」 そんなお悩みを抱えて来院された、19歳の男性の症例をご紹介します。
今回のケースは、歯科用語で「Ⅰ級叢生(いっきゅうそうせい)」、そして奥歯がすれ違って噛み合わない「鋏状咬合(はさみじょうこうごう)」を伴うものでした。実際にはこういうケースはよく遭遇します。
患者様は、上下の前歯に5mmほどの重なり(叢生)があり、見た目のガタつきを気にされていました 。しかし、詳細な検査を進めると、見た目以上に深刻だったのが右側の奥歯でした。
「鋏状咬合(シザーズバイト)」とも呼ばれるこの状態は、上下の奥歯がハサミのようにすれ違ってしまい、適切に噛み合っていない状態を指します 。これでは食べ物をしっかり噛み砕くことが難しく、将来的に特定の歯へ過度な負担がかかるリスクもありました。
ちなみに、写真の見方ですが、向かって左側が実際のお口の中の右側になります。

精密診断:見た目だけではない「根本的な原因」の特定
セファロ(顔面の骨格を測るレントゲン)分析の結果、骨格的にはわずかな上顎前突(出っ歯傾向)はあるものの、大きな異常は認められませんでした 。主な問題は「歯の生えるスペース不足」と「奥歯の生える位置のズレ」です。 そこで、以下の治療方針を立てました。
抜歯によるスペース確保:上下左右の第4小臼歯(前から4番目の歯)を計4本抜歯し、ガタつきを解消するためのスペースを作ります 。
アンカースクリューの活用:抜いたスペースを効率よく使い、奥歯のズレを確実に修正するために、矯正用の小さなネジ(アンカースクリュー)を併用しました 。このアンカースクリューのおかげで僕の矯正治療は大変役に立っています。
目標:単に歯を並べるだけでなく、奥歯でしっかり噛める「Ⅰ級関係」と、スムーズな顎の動きを助ける「アンテリアガイダンス」の確立を目指します 。

治療経過:1年7ヶ月の歩み
19歳3ヶ月からスタートした治療は、約1年7ヶ月で完了しました 。
レベリング(整列):まずはワイヤーを使って、バラバラだった歯の高さを揃えていきます 。
鋏状咬合の修正:すれ違っていた右側の奥歯が、一歩ずつ正しい位置へと動いていく様子は、患者様にとっても「噛める感覚」の変化として実感いただけたはずです。
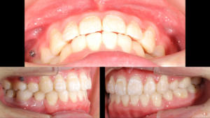
治療の結果:手に入れたのは、自信と健康
治療後、患者さんの表情は、初診時よりもさらに明るくなりました。
審美性の向上:前歯のガタつきが消え、調和の取れた口元になりました 。
機能の回復:鋏状咬合が改善され、奥歯でしっかりと「噛み締められる」安定した咬合を獲得しました 。
横顔のライン:唇が自然に閉じられるようになり、Eラインを含めた横顔のバランスも整いました 。


下にこれまでの経過を載せます。







院長よりメッセージ
今回のケースは、一見「少しガタガタしているだけ」に見えるかもしれませんが、奥歯の機能異常という重要な課題が隠れていました。
矯正治療は、単に歯を真っ直ぐに並べる「整列」ではありません。生涯にわたって自分の歯で美味しく食事をし、健康に過ごすための「機能の再建」だと私は考えています。
「自分の噛み合わせはどうだろう?」と少しでも不安を感じている方は、ぜひ一度ご相談ください。あなたの未来の健康を守るための第一歩を、一緒に踏み出しましょう。